
Image Credit: Jeonghwan Youk, Taewoo Kim, and Seon Pyo Hong
The development of organoid modeling has significantly expanded our understanding of human organs and the diseases that can affect them. For those unfamiliar with the term, an organoid is a miniaturized, simplified version of an organ produced that is also three dimensional.
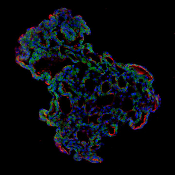
Recently, scientists from the University of Cambridge and the Korea Advanced Institute Science and Technology (KAIST) were able to develop ‘mini lungs’ from donated tissue and use them to uncover the mechanisms behind the new coronavirus infection and the early immune response in the lungs.
SARS-CoV-2, the name of the coronavirus that causes COVID-19, first appears in the alveoli, which are tiny air sacs in the lungs that take up the oxygen we breathe and exchange it with carbon dioxide.
To better understand how SARS-CoV-2 infects the lungs and causes COVID-19, the team used donated tissue to extract a specific type of lung cell. They then reprogrammed these cells to an earlier stem cell-like state and used them to grow the lung organoids.
The team then infected the ‘mini lungs’ with a strain of SARS-CoV-2 taken from a patient in South Korea who was diagnosed with COVID-19 after traveling to Wuhan, China.
Within the newly infected lung organoids, the team observed that the virus began to replicate rapidly, reaching full cellular infection in just six hours. Replication allows the virus to spread the infection throughout the body to other cells and tissue. The infected cells also began to produce interferons, which are proteins that act as warning signals to healthy cells, telling them to activate their antiviral defenses. After two days, the interferons triggered an immune response and the cells started fighting back against infection. Two and a half days after infection, some of the alveolar cells began to disintegrate, leading to cell death and damage to the lung tissue.
In a news release, Dr. Joo-Hyeon Lee, co-senior author of this study, elaborates on how he hopes this study can help more vulnerable sections of the population.
“We hope to use our technique to grow these 3D models from cells of patients who are particularly vulnerable to infection, such as the elderly or people with diseased lungs, and find out what happens to their tissue.”
The complete study was published in Cell Stem Cell.
CIRM has funded two discovery stage research projects that use lung organoids to look at potential treatments for COVID-19. One is being conducted by Dr. Brigitte Gomperts at UCLA and the other by Dr. Evan Snyder at the Sanford Burnham Prebys Medical Discovery Institute.
Recently there was an article with post-mortem report that COVID-19 infection changed the lung tissue into a leather ball like structure. Seems, it is hard to pin point the actual petrological damage due to COVID-19.