Cancers come in many different forms. Some are treatable if caught early and other aren’t. One of the most deadly types of cancers are glioblastomas – a particularly aggressive form of brain tumor. Patients diagnosed with glioblastoma have an average life expectancy of 12-15 months and there is no cure or effective treatment that extends life.
While a glioblastoma diagnosis has pretty much been a death sentence, now there could be a silver lining to this deadly, fast-paced disease. Last week, scientists from the City of Hope in southern California reported in the New England Journal of Medicine, a new cell-based therapy that melted away brain tumors in a patient with an advanced stage of glioblastoma.
An Immunotherapy Approach to Glioblastoma
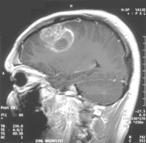
The patient is a 50-year-old man named Richard Grady who was participating in an investigational clinical trial run out of the City of Hope’s CIRM Alpha Stem Cell Clinic. A brain scan revealed a brightly lit tumor on the right side of Richard’s brain. Doctors surgically removed the tumor and treated him with radiation in an attempt to staunch further growth. But after six months, the tumors came back with a vengeance, spreading to other parts of his brain, lighting up his MRI scan like a Christmas tree.
With few treatment options and little time left, Richard was enrolled in the City of Hope trial that was testing a cell-based immunotherapy that recognizes and attacks cancer cells. It’s called CAR T-cell therapy – a term that you probably have heard in the news as a promising and cutting-edge treatment for cancer. Scientists extract immune cells, called T-cells, from a patient’s blood and reengineer them in the laboratory to recognize unique surface markers on cancer cells. These specialized CAR T-cells are then put back into the patient to attack and kill off cancer cells.
In Richard’s case, CAR-T cells were first infused into his brain through a tube in an area where a tumor was recently removed. No new tumors grew in that location of his brain, but tumors in other areas continued to grow and spread to his spinal cord. At this point, the scientists decided to place a second tube into a cavity of the brain called the ventricles, which contain a clear liquid called cerebrospinal fluid. Directly infusing into the spinal fluid allowed the cancer fighting cells to travel to different parts of the brain and spinal cord to attack the tumors.
Behnam Badie, senior author on the study and neurosurgery chief at the City of Hope, explained in a news release,
“By injecting the reengineered CAR-T cells directly into the tumor site and the ventricles, where the spinal fluid is made, the treatment could be delivered throughout the patient’s brain and also to the spinal cord, where this particular patient had a large metastatic tumor.”
Bye Bye Brain Tumors? Almost…
Three infusions of the CAR T-cell treatment shrunk Richard’s tumors noticeably, and a total of ten infusions was enough to melt away Richard’s tumors completely. Amazingly, Richard was able to reduce his medications and go back to work.

CAR T-cell therapy reduces brain tumors when infused into the spinal fluid. (NEJM)
The effects of the immunotherapy lasted for seven-and-a-half months. Unfortunately, his glioblastoma did come back, and he is now undergoing radiation treatment. Instead of being discouraged by these results, we should be encouraged. Patients with advanced cases of glioblastoma like Richard often have only weeks left to live, and the prospect of another seven months of life with family and friends is a gift.
Following these promising results in a single patient, the City of Hope team has now treated a total of nine patients in their clinical trial. Their initial results indicate that the immunotherapy is relatively safe. Further studies will be done to determine whether this therapy will be effective at treating other types of cancers.
CIRM Alpha Clinics Advance Stem Cell Treatments
The findings in this study are particularly exciting to CIRM, not only because they offer a new treatment option for a deadly brain cancer, but also because the clinical trial testing this treatment is housed at one of our own Alpha Clinics. In 2014, CIRM funded three stem cell-focused clinics at the City of Hope, UC San Diego, and a joint clinic between UC Los Angeles and UC Irvine. These clinics are specialized to support high quality trials focused on stem cell treatments for various diseases. The CIRM team will be bringing a new Alpha Clinics concept plan to its governing Board for approval in February.
Geoff Lomax, Senior Officer of Strategic Infrastructure at CIRM who oversees the CIRM Alpha Clinics, commented on the importance of City of Hope’s glioblastoma trial,
“Treating this form of brain cancer is one of the most vexing challenges in medicine. With the support and expertise of the CIRM Alpha Stem Cell Clinic, City of Hope is harnessing the power of patients’ immune cells to treat this deadly disease.”
Neil Littman, CIRM Director of Business Development and Strategic Infrastructure added,
“This study provides important proof-of-concept that CAR-T cells can be used to target hard-to-treat solid tumors and is precisely the type of trial the CIRM Alpha Stem Cell Clinic Network is designed to support.”
For more details on this study, watch the video below from City of Hope:


Great work, congratulations.