The California Institute for Regenerative Medicine (CIRM) recently awarded $1.5 million to a new research project led by Michael Wells, PhD, of UCLA, that aims to identify the genetic and molecular risk factors underlying disease-causing viral infections in multiple diverse ancestral populations.
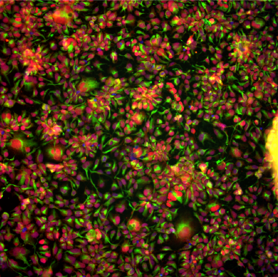
Dr. Wells and his team of researchers will be using a stem cell-based “cell village” platform to analyze factors underlying differences in viral susceptibility across 150 donors. These cell villages are composed of cells that capture the immense diversity of racial and ethnic groups across California, creating an environment for comprehensive analysis of genetic variants and cellular characteristics.




“As the personalized medicine revolution begins to take shape, it’s imperative that we ensure our findings are relevant to all people. Cell villages could play a significant role in addressing societal issues like the health disparities experienced by women and ethnic minorities in the United States,” said Dr. Wells.
This research has the potential to impact health disparities and advance future antiviral drug development. By studying the biological factors that influence differences in immune response to viruses, the project could provide valuable insights into how to develop more effective treatments.
“CIRM is dedicated to promoting diversity, equity, and inclusion in the research we fund. Projects such as this one, harnessing knowledge utilizing stem cell lines from a wide array of ancestral backgrounds, underlines our commitment to research that is reflective of our diverse population and is a cornerstone of our overarching objectives,” said Rosa Canet-Avilés, PhD, Vice President of Scientific Programs at CIRM.
Images of cell-villages above were provided by Dr. Michael Wells’ Lab and UCLA.
