Here are some stem cell stories that caught our eye this past week. Some are groundbreaking science, others are of personal interest to us, and still others are just fun.
A tight groove could help heal a heart. We have written several posts with the theme “It takes a village to raise a stem cell.” If you want a stem cell to mature into a desired tissue you have to pay attention to all aspects of its environment—both the chemicals around it and the physical space.
A team at the Imperial College London has provided the latest chapter to this tale. It turns out if you want stem cells to consistently turn into long fibers of heart muscle, besides providing them with the right chemical signals making them grow in long narrow grooves on lab plate also helps. They got a two-fold increase in heart muscle cells compared to stem cells grown on a flat lab plate.
They’re now trying to figure out why the etched silicon chips worked so well for generating heart muscle. The journal Biomaterials and Regenerative Medicine published the work and the web portal myScience picked up the university’s press release.
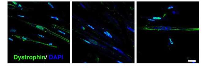
Stem cell model for muscular dystrophy. In the past, when scientists have looked at muscle samples from patients with Duchenne muscular dystrophy (DMD) to see why they have the characteristic muscle weakening, they ‘ve arrived at the scene of the crime too late. At that point, the cellular missteps had already occurred and all that is left to observe was the damage.

Healthy muscle cells express dystrophin (green), not cells from DMD patients (middle), but treated stem cells from patients do (right)
So, a team at Kyoto University reprogrammed a patient’s cells to create iPS type stem cells. They then used genetic cues to direct the stem cells to become muscle and watched to see how what went wrong as this process happened.
“Our model allows us to use the same genetic background to study the early stage of pathogenesis which was not possible in the past,” said first author Emi Shoji.
The research published in Scientific Reports and highlighted in a university press release picked up by MedicalXpress documented the level of inappropriate influx of calcium into the cells and showed that a specific cell surface receptor channel was to blame. That receptor will now become a target for new drug therapy for DMD pateints.
Ice bucket results. The ALS Association raised $220 million in the past year for amyotrophic lateral sclerosis, or Lou Gehrig’s disease, by getting people to dump bucket of ice water over their heads and then make a donation. More important, in just a year a major paper funded by the proceeds of the ice bucket challenge has shown a defect in the nerves of ALS patients and shown that correcting the defect makes the cells healthier. Those are pretty fast results for science.
In a paper published in the prestigious journal Science a team at Johns Hopkins found that one protein, TDP-43, was not doing its job well. When they genetically modified stem cell from ALS patients to correct that defect the cells worked properly. YahooFinance ran a story about the challenge and the new research.
“If we are able to mimic TDP-43’s function in the human neurons of ALS patients, there’s a good chance that we could slow down progression of the disease!” said Jonathan Ling, a researcher on the team. “And that’s what we’re putting all our efforts into right now.”
Of the initial $115 million raised during the early months of the challenge, 67 percent went to research, 20 percent to patient services, and nine percent to public and professional education. Just four percent went to overhead costs of fund raising.
China says it’s cracking down on clinics. I spend a considerable amount of time suggesting callers to our agency be very cautious about considering spending large sums of money to go overseas to get unregulated and unproven stem cell treatment. So, I was pleased to read this morning’s news that China’s top health authority issued regulation to control some of the most questionable clinics.
The regulations reported in China Daily note that any treatments using stem cells for conditions other than proven uses in blood diseases would be considered experimental and could only be conducted in approved hospitals. It noted conditions touted by clinics there including epilepsy, cerebral palsy, spinal cord injury and autism.
“Only eligible hospitals can perform the practice as a clinical trial for research purpose and it must not be charged or advertised. Anyone caught breaking the rules will be punished according to the new regulation,” said Zhang Linming, a senior official of the science and technology department of the commission.