
South San Francisco, CA, Oct. 27, 2023– The California Institute for Regenerative Medicine (CIRM), the world’s largest institution dedicated to regenerative medicine, awarded $42.1 million to fund various translational research — from treating brain cancers and salivary gland conditions to advancing a therapy for a rare metabolic disease.
The goal of CIRM’s Translational program is to support promising stem cell-based or gene projects that accelerate completion of translational stage activities necessary for advancement to clinical study or broad end use. Those can include therapeutic candidates, diagnostic methods or devices and novel tools that address critical bottlenecks in research.
The successful applicants in CIRM’s Translational program this month are:
| Application | Program Title | Principal Investigator / Institution | Amount |
| TRAN1-15227 | Development of a Gene Therapy for the Treatment of Arginase Deficiency – Translating from Proof of Concept to Support Pre-IND Meeting | Lipshutz, Gerald – UCLA | $5,266,504 |
| TRAN1-15257 | Adenine Base Editing for Autologous Hematopoietic Stem Cell Gene Therapy of CD3δ SCID | Romero Garcia, Zulema – UCLA | $5,966,928 |
| TRAN1-15230 | Ex Vivo Modified Hematopoietic Stem Cells to Treat Danon Disease | Adler, Eric – UCSD | $5,180,389 |
| TRAN1-15252 | Hematopoietic Stem Cell Gene Editing for X-linked Agammaglobulinemia (XLA) | Kohn, Donald – UCLA | $4,822,284 |
| TRAN4-15222 | T-Pure: Peripheral Blood Processing Tool for Point of Care CAR-T Manufacturing | Nolta, Jan – UC Davis | $1,302,837 |
| TRAN4-15298 | Development of a low-cost, clinical-grade iPS maintenance medium for enabling stem cell therapy manufacturing | Rees, Steven – Defined Bioscience, Inc. | $999,848 |
| TRAN1-15317 | Noncoding RNA drug TY1 as a therapeutic candidate for scleroderma and systemic sclerosis | Ibrahim, Ahmed – Cedars Sinai | $2,590,224 |
| TRAN1-15330 | Neurogenic hydrogel stimulation of stem cells to regenerate radiation-damaged salivary glands | Knox, Sarah – UCSF | $2,312,021 |
| TRAN4-15253 | Generation of human universal donor iPS cells | Hosoya, Tomonori – HEALIOS NA, Inc. | $999,989 |
| TRAN1-15325 | Development of an AAV gene therapy immunotherapy for the treatment of glioblastoma | Paulk, Nicole – Siren Biotechnology, Inc. | $3,997,919 |
| TRAN1-15341 | Optogenetic Therapy for Treatment of Geographic Atrophy | Bresge, Paul – Ray Therapeutics, Inc. | $3,998,930 |
| TRAN1-15291 | Pro-regenerative infusible ECM biomaterial for treating acute myocardial infarction | Christman, Karen – UCSD | $4,624,192 |
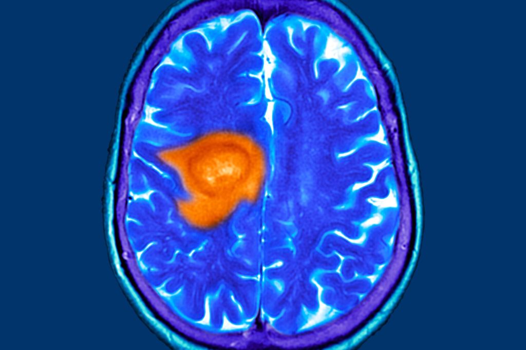
An experimental AAV gene therapy for treating glioblastoma
A $3.9 million award to Nicole Kristen Paulk, PhD, CEO and President of Siren Biotechnology will advance a novel adeno-associated virus (AAV) immuno-gene therapy for treating patients with glioblastoma, the most common primary brain tumor in adults and second in children.
Glioblastomas remain one of the deadliest brain cancers with a 5-year survival rate at 5 percent. There are more than 13,000 diagnoses of this type of cancer each year in the U.S.
This new therapy is designed to deliver a single-dose administration of engineered anti-cancer cytokine proteins directly to glioblastoma tumor cells through an AAV vector, a proven gene therapy vehicle. Following the delivery of cytokine proteins with an AAV, a patient’s immune system is triggered to fight and eliminate the tumor cells.
“Siren Biotechnology is thrilled and deeply honored to receive this support from CIRM. These significant funds will help advance the world’s first AAV gene therapy in oncology and speed our development as we push towards the clinic. We are excited to develop this completely new modality for cancer and grateful to CIRM that they share this vision and excitement with us,” said Paulk.
This award has the potential to bring direly-needed, effective therapies to the 1,400 Californians diagnosed with glioblastomas each year.
About the California Institute for Regenerative Medicine (CIRM)
At CIRM, we never forget that we were created by the people of California to accelerate stem cell treatments to patients with unmet medical needs, and act with a sense of urgency to succeed in that mission.
To meet this challenge, our team of highly trained and experienced professionals actively partners with both academia and industry in a hands-on, entrepreneurial environment to fast track the development of today’s most promising stem cell technologies.
With $5.5 billion in funding and more than 150 active stem cell programs in our portfolio, CIRM is one of the world’s largest institutions dedicated to helping people by bringing the future of cellular medicine closer to reality.
For more information go to www.cirm.ca.gov
are you doing anything with macular ( AMD )?