One hundred billion nerve cells working together empowering us to see, walk, think, speak, remember: the human brain is a stunning machine. Even more stunning is its formation in the growing fetus. It starts with a set of neural, or brain, stem cells in the early embryo. Then with each cell division, more and more cells emerge and specialize to perform various brain functions. All the while, some of those “daughter” cells remain uncommitted, staying in their neural stem cell form in order to keep a steady cell supply to build the brain. With all these 100,000,000,000 cells needing to be assembled in a precise way, it’s amazing that our brains work at all.

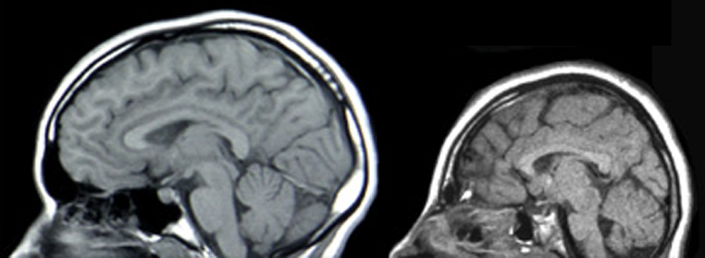
MRIs of a healthy individual (left) and a patient with microcephaly (right). Credit: PLoS Biol 2(5): e134
Suffer the children
Well, sometimes they don’t. For about 25,000 babies born in the U.S. each year, the brain doesn’t grow the way it should, leading to microcephaly, a disorder characterized by an abnormally small head (micro=small; cephaly=head). These babies have a range of symptoms including speech delays, seizures, mental retardation and balance difficulties.
Preventing microcephaly first requires understanding why this devastating condition leads to a smaller brain size. On Thursday, a Duke research team reported in Neuron that they have the answer: stem cells dividing too slowly.
In 2010, the team, led by Debra Silver, an assistant professor of molecular genetics and microbiology at the Duke University School of Medicine, found that mice lacking one of two copies of the Magoh gene showed a reduced brain size much like what’s seen in human microcephaly. Their study showed that the genetic defect upset the normal ratio of neural stem cells to neurons (nerve cells) in the brain. But how?

Slowly dividing neural stem cells generate aberrant stem cells and neurons. Credit: Louis-Jan Pilaz, Duke University
That’s where this new data comes into play. They found that many neural stem cells in mice lacking one copy of the Magoh gene divided at a slower rate, taking up to three times longer than cells with both copies of Magoh. Using specialized microscopes, the team observed the cells in real time and noticed that the slowly dividing cells were more likely to specialize into neurons rather remain in a stem cell state. On top of that, these neurons died off more readily. Silver described the results of this double-whammy of defects in a Duke University press release:
“It’s really a combination that helps explain the microcephaly. On one hand, you’re really not making enough new stem cells, and if you don’t have enough stem cells you can’t make enough neurons in the brain. On the other hand, some neurons do get made, but a lot of them die.”
Proving their point
To back up this claim, the team treated healthy mice with drugs that lengthen the time it takes for a cell to divide. Sure enough, an unusually high number of neural stem cells from those mice specialized into neurons and then succumbed to an early death.
From Silver’s perspective, this discovery doesn’t just provide a foothold in understanding (and maybe in even one day treating) microcephaly, it could be a fundamental insight for human developmental disorders in general:
This study shows that the time it takes for a stem cell to divide matters during brain development, But beyond microcephaly, I think it’s going to be relevant for thinking about how stem cell dysfunction can change the repertoire of other cells in the body.