Cancer Cells Mimic Blood Vessels to Colonize the Body’s Farthest Reaches

Scientists at Cold Spring Harbor Laboratory have just uncovered the latest dirty trick in the cancer playbook—one that spurs the cancer cells to spread throughout the body and evade treatment. But importantly, they believe they may have found a way to counter it.

Reporting today in the journal Nature, Cold Spring Harbor researchers describe how tumor cells can form tubular networks that mimic blood vessels. It is this mimicry, the team argues, that plays a key role in helping the cancer spread throughout the body—and a significant hurdle to successfully treating the disease.

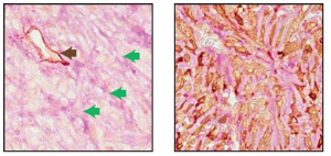
Two adjacent sections of a mouse breast tumor. Tissue at left is stained so that normal blood vessels can be seen (black arrow). Extending from these vessels are blood filled channels (green arrows). On the right, the tissue is stained for a fluorescent protein expressed by the tumor cells. Here, blood-filled channels are actually formed by tumor cells in a process known as vascular mimicry. [Credit: Hannon Lab, CSHL]

Two adjacent sections of a mouse breast tumor. Tissue at left is stained so that normal blood vessels can be seen (black arrow). Extending from these vessels are blood filled channels (green arrows). On the right, the tissue is stained for a fluorescent protein expressed by the tumor cells. Here, blood-filled channels are actually formed by tumor cells in a process known as vascular mimicry. [Credit: Hannon Lab, CSHL]

Using mouse models of breast cancer, the team—led by Simon Knott—identified this phenomenon, called ‘vascular mimicry,’ and revealed that two genes, called Serpine2 and Slpi, were driving it. Made up of tumor cells literally stacked together, these tubular networks allowed oxygen and other nutrients to reach far-flung tumor cells throughout the body. This kept the tumor cells healthy, and helped them spread.

In today’s press release, Knott explained his initial reactions to this critical discovery:

“It’s very neat to watch and see cells evolve to have these capacities, but on the other hand it’s really scary to think that these cells are sitting there in people doing this.”

In laboratory experiments, the team found that boosting levels of Serpin2 and Slpi boosted the cancer’s ability to build these networks. Conversely, shutting down these two genes appeared to do the opposite. Knott argues that targeting the proteins that these two genes produce, as a way of shutting them off, may be a winning strategy:

“Targeting them might provide therapeutic benefits,” said Knott, “but we’re not sure yet.”

Indeed, research efforts over the past decade or more have tried to curb the production of these tubular networks of tumor cells, but with limited success. These drugs, called angiogenesis inhibitors, may not have worked as well as originally hoped because the underlying mechanism that creates this vascular mimicry—namely the genes Serpin2 and Slpi—was not targeted. Postdoctoral researcher Elvin Wagenblast, the paper’s first author, thinks they might have more success now:

“Maybe by targeting angiogenesis and also vascular mimicry at the same time we might actually have a better benefit in the clinic in the long run.”

This strategy is ultimately the goal of the team, but much work remains. Their most immediate next steps are to understand the process by which tumor cells pass through these tubular networks and infiltrate new areas of the body. But armed with this new-found knowledge of vascular mimicry, these and other researchers may be well on their way to outsmarting cancer, at least some of the time.

Leave a comment

This site uses Akismet to reduce spam. Learn how your comment data is processed.