Chia Pets make growing hair look easy. You might not be familiar with these chia plant terracotta figurines if you were born after the 80s, but I remember watching commercials growing up and desperately wanting a “Chia Pet, the pottery that grows!”
My parents eventually caved and got me a Chia teddy bear, and I was immediately impressed by how easy it was for my bear to grow “hair”. All I needed to do was to sprinkle water over the chia seeds and spread them over my chia pet, and in three weeks, voila, I had a bear that had sprouted a lush, thick coat of chia leaves.
These days, you can order Chia celebrities and even Chia politicians. If only treating hair loss in humans was as easy as growing sprouts on the top of Chia Mr. T’s head…
Activating Hair Follicle Stem Cells, the secret to hair growth?
That day might come sooner than we think thanks to a CIRM-funded study by UCLA scientists.
Published today in Nature Cell Biology, the UCLA team reported a new way to boost hair growth that could eventually translate into new treatments for hair loss. The study was spearheaded by senior authors Heather Christofk and William Lowry, both professors at the Eli and Edythe Broad Center of Regenerative Medicine and Stem Cell Research at UCLA.
Christofk and Lowry were interested in understanding the biology of hair follicle stem cells (HFSCs) and how their metabolism (the set of chemical changes required for a cell to sustain itself) plays a role in hair growth. HFSCs are adult stem cells that live in the hair follicles of our skin. They are typically inactive but can quickly “wake up” and actively divide when a new hair growth cycle is initiated. When HFSCs fail to activate, hair loss occurs.
A closer look at HFSCs in mice revealed that these stem cells are dependent on the products of the glycolytic pathway, a metabolic pathway that converts the nutrient glucose into a metabolite called pyruvate, to stimulate their activation. The HFSCs have a choice, they can either give the pyruvate to their mitochondria to produce more energy, or they can break down the pyruvate into another metabolite called lactate.
The scientists found that if they tipped the balance towards producing more lactate, the HFSCs activated and induced hair growth. On the other hand, if they blocked lactate production, HFSCs couldn’t activate and new hair growth was blocked.
In a UCLA news release, Lowry explained the novel findings of their study,
“Before this, no one knew that increasing or decreasing the lactate would have an effect on hair follicle stem cells. Once we saw how altering lactate production in the mice influenced hair growth, it led us to look for potential drugs that could be applied to the skin and have the same effect.”
New drugs for hair loss?
In the second half of the study, the UCLA team went on the hunt for drugs that promote lactate production in HFSCs in hopes of finding new treatment strategies to battle hair loss. They found two drugs that boosted lactate production when applied to the skin of mice. One was called RCGD423, which activates the JAK-Stat signaling pathway and stimulates lactate production. The other drug, UK5099, blocks the entry of pyruvate into the mitochondria, thereby forcing HFSCs to turn pyruvate into lactate resulting in hair growth. The use of both drugs for boosting hair growth are covered by provisional patent applications filed by the UCLA Technology Development Group.

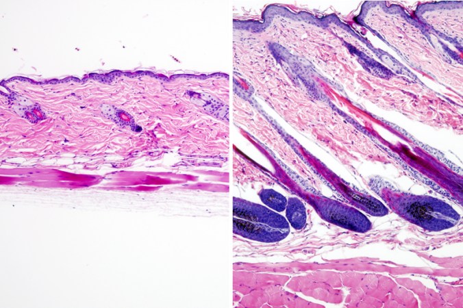
Untreated mouse skin showing no hair growth (left) compared to mouse skin treated with the drug UK5099 (right) showing hair growth. Credit: UCLA Broad Stem Cell Center/Nature Cell Biology
Aimee Flores, the first author of the study, concluded by explaining why using drugs to target the HFSC metabolism is a promising approach for treating hair loss.
“Through this study, we gained a lot of interesting insight into new ways to activate stem cells. The idea of using drugs to stimulate hair growth through hair follicle stem cells is very promising given how many millions of people, both men and women, deal with hair loss. I think we’ve only just begun to understand the critical role metabolism plays in hair growth and stem cells in general; I’m looking forward to the potential application of these new findings for hair loss and beyond.”
If these hair growth drugs pan out, scientists might give Chia Pets a run for their money.