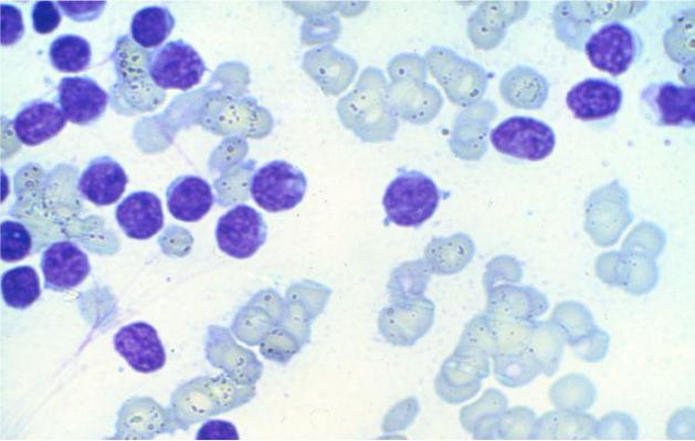
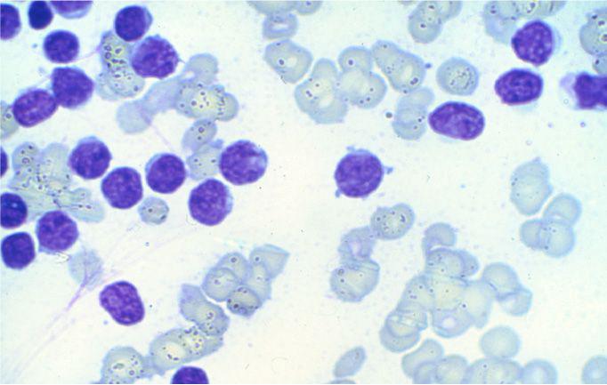
New stem cell target for acute myeloid leukemia (Karen Ring). A new treatment for acute myeloid leukemia, a type of blood cancer that turns bone marrow stem cells cancerous, could be in the works in the form of a cancer stem cell destroying antibody.

Acute Myeloid Leukemia (Credit: Medscape)
Scientists from the NYU Langone Medical Center and the Memorial Sloan Kettering Cancer Center identified a protein called CD99 that appears more abundantly on the surface of abnormal blood cancer stem cells compared to healthy blood stem cells. They developed an antibody that specifically recognizes and kills the CD99 wielding cancer stem cells while leaving the healthy blood stem cells unharmed.
The CD99 antibody was effective at killing human AML stem cells in a dish and in mice that were transplanted with the same type of cancer stem cells. Further studies revealed that the CD99 antibody when attached to the surface of cancer stem cells, sets off a cascade of enzyme activity that causes these cells to die. These findings suggest that cancer stem cells express more CD99 as a protective mechanism against cell death.
In an interview with Genetic Engineering and Biotechnology News, Chris Park, senior author on the Science Translational Medicine study, explained the importance of their work:
“Our findings not only identify a new molecule expressed on stem cells that drive these human malignancies, but we also show that antibodies against this target can directly kill human AML stem cells. While we still have important details to work out, CD99 is likely to be an exploitable therapeutic target for most AML and MDS patients, and we are working urgently to finalize a therapy for human testing.”
While this work is still in the early stages, Dr. Park stressed that his team is actively working to translate their CD99 antibody therapy into clinical trials.
“With the appropriate support, we believe we can rapidly determine the best antibodies for use in patients, produce them at the quality needed to verify our results, and apply for permission to begin clinical trials.”
Peculiar stem cell function may help treat blindness (Todd Dubnicoff). Scientists at the National Eye Institute (NEI) have uncovered a novel function that stem cells use to carry out their healing powers and it may lead to therapies for glaucoma, the leading cause of blindness in United States. Reporting this week in Stem Cells Translational Medicine, the researchers show that stem cells send out regenerative signals by shedding tiny vesicles called exosomes. Once thought to be merely a garbage disposal system, exosomes are now recognized as an important means of communication between cells. As they bud off from the cells, the exosomes carry proteins and genetic material that can be absorbed by other cells.

Microscopy image shows exosomes (green) surrounding retinal ganglion cells (orange and yellow). Credit: Ben Mead
The researchers at NEI isolated exosomes from bone marrow stem cells and injected them into the eyes of rats with glaucoma symptoms. Without treatment, these animals lose about 90 percent of their retinal ganglion cells, the cells responsible for forming the optic nerve and for sending visual information to the brain. With the exosome treatment, the rats only lost a third of the retinal ganglion cells. The team determined that microRNAs – small genetic molecules that can inhibit gene activity – inside the exosome were responsible for the effect.
Exosomes have some big advantages over stem cells when comes to developing and manufacturing therapies which lead author Ben Mead explains in a press release picked up by Eureka Alert:
“Exosomes can be purified, stored and precisely dosed in ways that stem cells cannot.”
We’ll definitely keep our eyes on this development. If these glaucoma studies continue to look promising it stands to reason that there would be exosome applications in many other diseases.