Here are some stem cell stories that caught our eye this past week. Some are groundbreaking science, others are of personal interest to us, and still others are just fun.
Targeting cancer stem cells. This week, three studies came out with novel ways for targeting cancer stem cells in different types of cancers. Here’s a brief run-down of this trifecta of cancer stem cell-crushing stories:
Take your vitamins! Scientists in the UK were experimenting on cancer stem cells and comparing natural substances to on-the-market cancer drugs to determine whether any of the natural substances were effective at disrupting the metabolism (the chemical reactions that keep cells alive and functioning) of cancer stem cells. Interestingly, they found that ascorbic acid, which you’ll know as Vitamin C, was ten times better at curbing cancer stem cell growth compared to a cancer drug called 2-DG.
Vitamin C has popped up as an anti-cancer treatment in the past when Nobel Laureate Linus Pauling found that it dramatically reduced the death rate in breast cancer patients. However this current study is the first to show that Vitamin C has a direct effect on cancer stem cells.
In coverage by ScienceDaily, the UK team hinted at plans to test Vitamin C in clinical trials:
“Vitamin C is cheap, natural, non-toxic and readily available so to have it as a potential weapon in the fight against cancer would be a significant step. Our results indicate it is a promising agent for clinical trials, and a as an add-on to more conventional therapies, to prevent tumour recurrence, further disease progression and metastasis.”
A gene called ZEB1 determines how aggressive brain tumors are. A team from Cedars-Sinai Medical Center was interested to know how cancer stem cells in aggressive brain tumors called gliomas survive, reproduce and affect patient survival. In a study published in Scientific Reports, they studied the genetic information of over 4000 brain tumor samples and found ZEB1, a gene that regulates tumor growth and is associated with patient survival.
They found that patients with a healthy copy of the ZEB1 gene had a higher survival rate and less aggressive tumors compared to patients that didn’t have ZEB1 or had a mutated version of the gene.
In coverage by ScienceDaily, the senior author on the study explained how their study’s findings will allow for more personalized treatments for patients with glioma based on whether they have ZEB1 or not:
“Patients without the gene in their tumors have more aggressive cancers that act like stem cells by developing into an uncontrollable number of cell types. This new information could help us to measure the mutation in these patients so that we are able to provide a more accurate prognosis and treatment plan.”
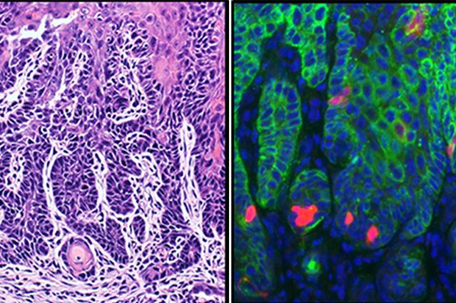
Beating resistant tumors by squashing cancer stem cells. Our final cancer stem cell story today comes from the UCLA School of Dentistry. This team is studying another type of aggressive cancer called a squamous cell carcinoma that causes tumors in the head and neck. Often these tumors resist treatment and spread to a patient’s lymph nodes, which quickly reduces their survival rate.
The UCLA team thought that maybe pesky cancer stem cells were to blame for the aggressive and resistant nature of these head and neck tumors. In a study published in Cell Stem Cell, they developed a mouse model of head and neck carcinoma and isolated cancer stem cells from the tumors of these mice. When they studied these stem cells, they found that they expressed unique proteins compared to non-cancer cells. These included Bmi1, a well-known stem cell protein, and AP-1, a transcription factor protein that regulates other cancer genes.

At left, head and neck squamous cell carcinoma invasive growth, and at right, cancer stem cells (shown in red) in head and neck squamous cell carcinoma. (Image Demeng Chen and Cun-Yu Wang/UCLA)
After identifying the culprits, the team developed a new combination strategy that targeted the cancer stem cells while also killing off the tumors using chemotherapy drugs.
In a UCLA Newsroom press release, the lead scientist on the study Dr. Cun-Yu Wang explained the importance of their study for the future treatment of cancer and solid tumors:
“This study shows that for the first time, targeting the proliferating tumor mass and dormant cancer stem cells with combination therapy effectively inhibited tumor growth and prevented metastasis compared to monotherapy in mice. Our discovery could be applied to other solid tumors such as breast and colon cancer, which also frequently metastasizes to lymph nodes or distant organs.”